さあ、自信の笑顔を手に入れよう。ホワイトニングで新しいあなたへ。
ホワイトニングをお考えのかたへ
第一印象というのは、口もとが重要です!
白い歯と黄ばんでしまった歯とでは、印象が全く異なります。
白い歯は、清潔感あふれ、好印象を持たれるようになるでしょう。
当院のホワイトニングの特徴
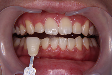
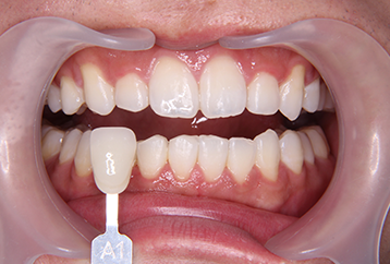
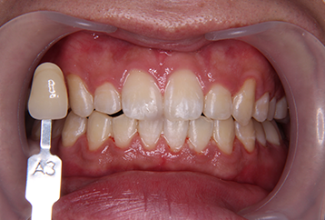
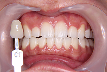
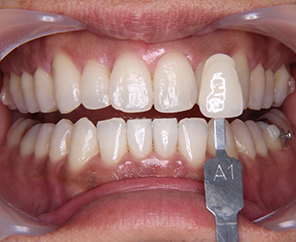
ホワイトニングの症例
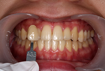
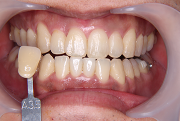
ホームホワイトニング
ジェルだけ1ヶ月コース

Before 01


After 01
ジェルだけ1ヶ月コース

Before 02


After 02
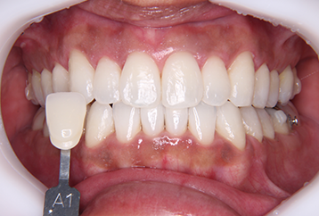
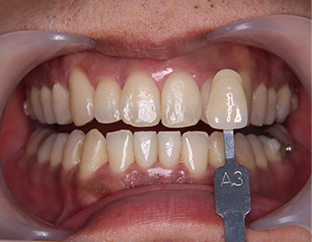
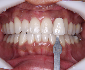
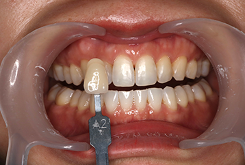
デュアルホワイトニング(オフィスホワイトニングとホームホワイトニングの併用)
デュアル2ヶ月コース

Before 01


After 01
デュアル2ヶ月コース

Before 02


After 02
デュアル2ヶ月コース

Before 03


After 03

After 04
デュアル2ヶ月コース

Before 05


After 05
ホワイトニングに関するご案内と注意事項
対象となる主な治療
オフィスホワイトニング / ホーム ホワイトニング / デュアルホワイトニング
治療の仕組み
この治療は、主に過酸化水素等を含む薬剤を歯の表面に適用し、その作用によって歯の内部の色素を分解し、歯を明るく白くする方法です。
注意点やリスク
知覚過敏や痛みの可能性:施術中や施術後に、歯がしみたり(知覚過敏)、歯ぐきに軽い痛みや刺激を感じたりすることがあります。
効果の個人差:ホワイトニング効果の出方には個人差があり、元の歯の色や歯の質、状態によって白くなる度合いが異なります。
効果が出にくいケース:詰め物、被せ物、神経を抜いた歯、あるいはテトラサイクリン系の薬剤による強い着色がある歯などでは、期待される効果が得られにくい場合があります。
一時的な着色リスク:治療直後、歯の表面が一時的に乾燥し、色がつきやすい状態になります。そのため、施術後24時間から48時間程度は、色の濃い飲食物(例:コーヒー、紅茶、カレー、赤ワインなど)の摂取や喫煙を控えていただく必要があります。
効果の持続性:ホワイトニングの効果は永久的ではありません。時間の経過とともに徐々に元の色に戻るため、白さを保つためには定期的なメンテナンス(再ホワイトニング)が推奨されます。
事前の治療:虫歯や歯周病がある場合は、安全に治療を進めるため、先にそちらの治療を完了させる必要があります。
治療にかかる期間の目安オフィスホワイトニング:1回の施術にかかる時間は1時間程度です。希望される白さによっては、数回に分けて施術を行うことがあります。
ホームホワイトニング:専用のマウスピースに薬剤を入れ、ご自宅で毎日約2時間程度の装着を約2週間かけて行っていただきます。コースにより異なります。
デュアルホワイトニング:フィスホワイトニングとホームホワイトニングを併用するため、衛生士の施術とお家で行うホワイトニングを同時進行で行います。
費用(税込)
オフィスホワイトニング:13,750円/回
ホームホワイトニング:31,900円 ~ 61,200円
デュアルホワイトニング:44,000円 ~ 120,600円
ホームホワイトニングQ&A
- 誰でもホワイトニングできますか?
- 基本的にはほとんどの方ができますが、以下の方は注意が必要です。
・妊娠中や授乳中の方 ・知覚過敏の方は事前に相談してください
・重度の歯周病の方 ・虫歯のある方は治療を済ませてからになります - ホワイトニング後、歯の白さはどのくらい維持できますか?
- 個人差はありますが半年から1年ぐらいが目安となります。また歯の質、食生活にも左右されますので、 半年に一度定期的に来院されることをお勧めします。
- 差し歯、神経のない歯はホワイトニングで白くなりますか?
- ホワイトニングでは白くなりません。
- テトラサイクリン歯はホワイトニングで白くなりますか?
- テトラサイクリンなど薬物による茶褐色、灰色、縞模様はホワイトニングでは効果はありません。
歯の内部より徐々に白くしていくスーパーブリーチングをお勧めします。
テトラサイクリンとは?
テトラサイクリン系抗生物質を原因とする歯の変色のことを言います。 テトラサイクリンを歯の形成期に長期間吸収した場合、歯を作る組織の中に取り込まれて歯の色が帯状にグレーがかった状態になります。また妊娠中にテトラサイクリン系抗生物質を服用しているとお腹の中にいる胎児にまで影響します。 - 年齢制限などはありますか?
- 基本的には年齢制限は設けていませんが、歯の形成が終了していない方はホワイトニングが可能と診断された場合のみお受けいただけます。
また18歳未満でホワイトニングを行う場合は保護者の方の承諾書が必要になります。 - 身体に害はありますか?
- ホワイトニングペーストは、オキシドール(殺菌・消毒剤)の主成分である過酸化水素を使用していますので安全です。
院内案内
-

-
受付
患者様とのコミュニケーションを大切にします
-

-
待合室
熱帯魚や美しいアートなどを見ながらくつろいでいただけるとびきり上質の空間です。
-

-
カウンセリングルーム
写真や様々な資料をご覧いただきながら、診療についてのご説明やご相談をさせていただきます。
-

-
診察室
個室診療室でゆったりと診察を受けていただけます。床材や壁材にもこだわり体に優しい天然素材を使用しています。
診察案内
所在地
大阪府箕面市船場西2丁目7-5 シーモア千里ビル3階
電話番号
072-728-7776
診療科目
矯正歯科・予防歯科
診療時間・休診日
| 診療時間 | 月 | 火 | 水 | 木 | 金 | 土 | 日 |
|---|---|---|---|---|---|---|---|
| 09:00~13:00 | ● | ● | ● | × | ● | ● | ● |
| 14:30~19:00 | ● | ● | ● | × | ● | △ | ● |
※土曜日は18時まで
休診日:木曜・日曜・祝日・隔週水曜
【予約制】
矯正急患の方、矯正初診の方は随時受付していますが、待ち時間を少なくするために
事前に必ずお電話にてお問い合わせ下さい。
また、5分以上の遅刻は診察できない場合がございますのでご了承下さい。
アクセス
【電車でお越しになる場合】
北大阪急行「箕面船場阪大前駅」(千里中央駅の一つ次の駅)より徒歩5分
北大阪急行または大阪モノレール「千里中央駅」下車・千里中央駅より阪急バス5分「新船場南橋」バス停下車徒歩3分
【車でお越しになる場合】
新御堂筋を箕面方面に向かい、千里中央を過ぎてコムアートヒル方面出口の側道へ。新船場南橋の交差点(目印は左手にあるファミリーマート)を左折してください。すぐ右側に見える白いタイル張りのビルの3階に当院があります。
当院ビルに隣接して専用駐車場5台あり。






